Dentalinfo - Portal Informativo de salud bucodental

Mini implantes dentales para Gerodontología

Paciente de 81 años que presenta movilidad en ambas prótesis dentales, y a la que le habían hecho unas prótesis dentales nuevas a las que no se adaptaba y persistía la movilidad.

Después de un estudio clínico y radiográfico detallado, se propone a la paciente colocar cuatro mini implantes dentales (1,8 mm de diámetro y 13 mm de largo) en maxilar superior y tres en maxilar inferior de las mismas características.

La paciente accede pero siempre y cuando que podamos “aprovechar” sus prótesis dentales a las que está acostumbrada y las siente confortables.

Teniendo en cuenta que en Gerodontología se precia más el confort del paciente en sus últimos años de vida, se accede a tal petición.

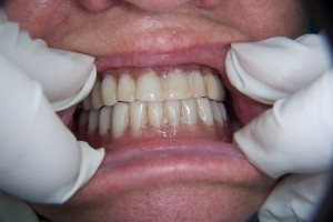
En la primera foto podemos observar los mini implantes dentales ya colocados mediante una cirugía mínimamente invasiva, sin cortar encía con bisturí, y en el mismo acto clínico se adaptan las prótesis de la paciente colocando las hembras en su interior para que se sujeten a los mini implantes dentales, tal como vemos en la foto 2 y 3.

Con sus prótesis ya colocadas en boca y sujetas el mismo día, ya que los mini implantes dentales son para realizar carga inmediata, la paciente puede disfrutar de una masticación eficiente y unas prótesis estables que le darán gran seguridad, sin exageradas cirugías ni tiempo de espera, como vemos en la foto 4.

Dr. Manuel López de Calatayud
COEC 3800